
衛生管理
オートクレーブ等による多段階滅菌消毒!
オートクレーブとは、歯科器具を高温・高圧の状態で完全に滅菌する器械です。
更には超音波洗浄器も併用しております。
これらはほとんどすべての歯科器具に使用し、常に清潔な状態にしています。
紫外線滅菌庫に保管、ディスポーザブルを使用
洗浄後は紫外線の照射されている滅菌庫に保管いたします。
また、診療に使うコップやエプロン等は極力ディスポーザブル製品にしております。
デジタルレントゲン
患者様に負担をかけず、現状を詳しく知ること!
超高感度だから被曝量が軽減!子供さんにも優しいレントゲン!
デジタルレントゲンに使われているX線センサーは、デジタルならではの高感度!
照射時間が短縮され、より低線量でのレントゲン画像取得が可能となります。
お子様にも安心です!
また、従来行われていたレントゲン写真の現像など、手間もなくなりました。
環境にも優しく、スピーディーな対応が可能となります。
少ない被爆で、安心安全!
当院のデジタルレントゲンは、従来のフィルムを使用したレントゲン撮影に比べ、
人体に受ける放射線の量を、約1/4~1/10に抑える事が可能です。
照射時間がかなり短く、安心安全です。
マイクロスコープ・拡大鏡
マイクロスコープを使用すると、肉眼で見える部分を拡大して確認できるだけではなく、
肉眼では見えない部分まで確認できます。
そのため、どんな小さな虫歯のリスクも見逃すことがなく、早期発見・早期治療が可能です。
更には治療したのに、歯がうずく、違和感があるなど、それらもマイクロスコープで見ると、
肉眼では見えない、微細なひびなどを発見することができ、小さな原因も見逃しません。
また、通常の診療時も拡大鏡を使用し、精細な治療を提供出来るよう努めております。

電動麻酔
麻酔の痛みを和らげるには、出来るだけ細い針を使って、
ゆっくりと麻酔液を注入することが必要です。
しかしながら針が細くなると強い力が必要となり、力のコントロールがしにくくなります。
電動注射器を使えば、細い針でもゆっくりと麻酔液を注入することが出来るので、
麻酔時の痛みを少なくすることが出来ます。
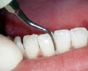
超音波スケーラー
超音波スケーラーは、主に歯肉縁上歯石のスケーリングを行なう際に使用します。
超音波スケーラーは、毎秒約25000~40000回の振動によって歯石を破壊し、除去します。
また、超音波スケーラーは歯石の除去以外にも、
クラウンなどの補綴物の除去や根管洗浄にも使用されることがあります。
根管長測定器
根管長測定器とは、歯科治療における抜髄、感染根管処置の治療の際に用いる測定装置です。
抜髄、感染根管処置の治療にあたっては、根尖部までしっかりと感染物質を除去し、
その後、根管充填材を根尖部まで綿密に充填すべきというのが歯科医学の考え方です。
それにあたって湾曲している根の正確な長さの把握が不可欠であり、
根管長測定器は口腔粘膜と根管内に挿入した測定電極の先端との間のインピーダンス値を測定することにより、根の長さを把握する装置です。
根管拡大装置(根管長測定器付き)
根管治療を行う上で特に気を使うことが、なるべくオリジナルの根管形態を維持しながら治療を行うことです。
そのために湾曲している根管にも形を崩さず治療が出来るようニッケルチタン製の器具と、
それを動かす専用の根管治療器を用いて根管を広げていきます。
















